MedCliniq

Dental Veneers

  • HOME
  • /
  • Dental Veneers
"I've been going to the Smile Cliniq for the past couple of years, and the treatment, care and advice from Chetan and his team has been faultless. Highly recommended." - A.S.
"Yet again I have been blown away by Smile Cliniq. After my filling fell out on Sunday night, I was distraught. But I phoned the Cliniq in the morning and got an appointment for the same morning. Dr Kaher put me at ease, even though I was very anxious, and did an amazing job on my..." - Robyn B
"What a great dental clinic! I was having issues with a tooth and Dr Sarita Kotecha was brilliant. Solved my dental issue quickly and explained everything in a way that made me actually enjoy the appointment (!!). They were able to squeeze me in last minute too. Highly recommend t..." - Saya Jones
"The service was so good at Smile Cliniq by Dr Sarita Kotecha, I recommended my wife to change dentist. We've been looking for a good dentist since moving to London 2 and 1/2 years ago and the quality we had received from our previous dentist was sub-standard. That all changed at ..." - Greg Jones
"I have had a dentist phobia for many years and would shake all over whenever I was there. Dr Chetan Kaher changed that. He was calm and very patient and understanding of my anxiety. All the staff are thoughtful and friendly. I don't shake anymore, which is wonderful. I still have..." - DEBRA MERRITT
"Fantastic service, professional and top notch technology. Very hygenic and Dr Chetan Kaher has a very steady and experienced hand. Highly recommend." - Amrita Chauhan
"I have had a dentist phobia for many years and would shake all over whenever I was there. Dr Chetan Kaher changed that. He was calm and very patient and understanding of my anxiety. All the staff are thoughtful and friendly. I don't shake anymore, which is wonderful. I still have..." - DEBRA MERRITT
"Friendly and helpful manager. Dentist was also friendly and efficient,Gave me lots of advice about dental care showing video." - Filippa Milioto
"Needed an emergency appointment, I was seen the same day! Great service and friendly staff" - Elena Milioto
"I found the the team at smile very professional and friendly, nothing was too much trouble. Chet presented all the options and my selected course of treatment took place over a year. As it involved one of my front top teeth I had some concerns and Chet was always available to ans..." - Irin Wu
"I have a hereditary tendency to get dental cavities, ensuing painful dental treatments, which left me scared of visiting dentists. Now, in my early thirties, I did everything to avoid dental checks. I also gave up on having cavity-free teeth. Two years ago, I was forced to find a..." - Rukmini
"I have just finished my year long lingual brace treatment with Dr Sarita Kotecha which has been a huge success. I'm so happy with the results! The staff at Smile Cliniq have always been friendly, helpful and welcoming; fitting me in for last minute appointments when necessary and..." - Maayan Bianca
"My wife needed to see a dentist on an emergency basis on a Saturday after a bad fall the evening before. We called on Saturday morning and they were able to take us that afternoon. The quality of care, both technically and inter-personally, could not have been better. If we lived..." - Hal N.

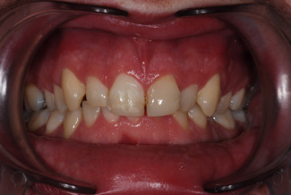
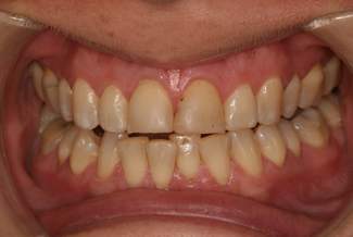
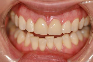
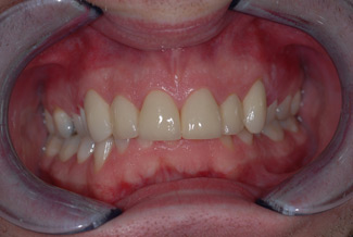
Before and After Gallery

veneers_london_before
Before
veneers_london_after
After
veneers_london_before
Before
veneers_london_after
After
veneers_london_before
Before
veneers_london_after
After
veneers_london_before
Before
veneers_london_after
After
veneers_london_before
Before
veneers_london_after
After
veneers_london_before
Before
veneers_london_after
After
veneers_london_before
Before
veneers_london_after
After
veneers_london_before
Before
veneers_london_after
After
Composite Veneers London Before
Before
Composite Veneers London After
After
Porcelain Veneers London Dentist
Before
Porcelain Veneers London Dentist
After

Fed up of an Unsightly Grin, Is your Smile getting you down, why not consider Dental Veneers known as Veneer Teeth?

Affordable Cosmetic Dental Veneers

These are custom-made Dental Veneers that are ceramic facings that cover the front of discoloured, chipped and cracked teeth. Minimal preparation of tooth is required for our ceramists to hand craft your veneer from lithium disilicate (a type of porcelain) materials to portray a bright, beautiful and natural smile. See our portfolio on Dental Veneer and Veneer Teeth.

What are Dental Veneers?

Dental veneers, also known as Veneer Teeth, are like false finger nails for teeth. They are thin shells of ceramic that are bonded to teeth.

veneers

Why are Dental Veneers used?

Dental veneers are used to mask discoloured, chipped, cracked, poorly shaped and positioned teeth. Rapid advances in ceramic technology and resin bonding systems has revolutionised the smile design concept. Preparation varies from patient to patient. If required our Dentists carry out minimal reduction (0.5-1.0mm) for our ceramist to create your perfect smile. The materials used by our ceramists to create your veneer teeth provide the most aesthetic man made alternative to natural tooth tissue.

Types of Dental Veneers

We offer many types of teeth veneers but prefer composite or Emax Veneers.

EMAX Dental Veneers

Ivoclar Vivadent’s patented lithium disilicate material is truly a revolution for the dental industry. Never before has a material been able to combine high strength, high aesthetics and ease of use into one product, until now.

Emax teeth veneers are a form of high strength porcelain teeth veneers that are custom made and bonded to teeth to improve the aesthetics and or strength of the teeth or to enhance their function.

Emax veneers are pressed ceramic and their high strength and durability make it possible to produce them in very thin layers allowing little or no preparation (drilling) of the teeth.  This is one of the biggest advantages of Emax teeth veneers and hence avoiding drilling the teeth to peg shapes as can be the case with more conventional porcelain veneers.  This also allows much stronger bond between the veneer and tooth.  This is because the bonding is with the enamel which is stronger than bonding to dentine (the inner part of the tooth).

Here are some Examples of Porcelain Veneers:

Composite Dental Veneers

Composite Veneers are also called direct veneers made out of composite material and are used to improve the appearance of damaged, discoloured teeth or teeth with unattractive gaps or improper alignment. Composite veneers are created by the dentist in the surgery so the aesthetic improvement can be done in one appointment. In comparison porcelain veneers are created in a dental laboratory and usually require two or three appointments to complete.  This is a cost effective solution to repair and improve the appearance of teeth. They are however aesthetically not as naturally looking as porcelain veneers.

Here are some examples of composite veneers:

What is the Procedure for Dental Veneers?

Initial consultation, assessment and planning will occur with one of our Dental Veneer Specialists. The options appropriate to your case will be thoroughly discussed with you. Preoperative pictures and tooth shade will be taken and the smile design process is initiated. Impressions will be taken to allow our ceramist to provide a diagnostic wax up, this will physically allow you to visualise and approve the intended outcome with your veneer teeth.

At your second visit the teeth to be veneered will be minimally prepared. An impression will be taken and sent to our ceramist along with your smile design and custom prescription. Temporary veneers are constructed to provide you with an aesthetic provisional restoration, already improving your smile. In the mean time a Smile Cliniq ceramist will hand craft your final veneer teeth.

At the final visit the provisional veneers are carefully removed, and your custom made teeth veneers tried in. A thorough quality control programme is initiated to ensure that you receive a Smile Cliniq product of premier quality. You will be shown the veneers at this try in stage. Once you confirm that you are pleased with the appearance and fit, your Dentist will bond the veneers to your teeth.

 

Recall and Review

It may take a couple of days for you to become accustomed to your new teeth veneers. You will be invited to return a few weeks after the provision of your veneers to review your oral health status, condition of teeth veneers and feed back of the cosmetic result. It is important to employ a strict oral hygiene regime encompassing professional hygiene intervention. You will be shown the most appropriate method to ensure optimal oral health. As with any treatment regular recall and review is essential to ensure the status of your dental veneers.

It is generally accepted that between 1 in 5 and 1 in 8 teeth veneered or crowned go on to become non-vital and require a root canal treatment at some stage and this can be many many years after the initial crown. Rarely, dental veneers may also fracture or debond and further work maybe required.

For those patients that suffer from dental anxiety, we offer Conscious IV Sedation to help you feel more relaxed during treatment.

Even more Information and Consent
Inman Aligner Dentistry Award Smile Award Restylane BACD BDA Care Quanlity Commission Bupa Dental Phobia Patient Service Award 2017 - WhatClinic

OR

BOOK AN APPONTMENT NOW

Call for a consultation today

phone

020 3627 8732

© Copyright Med Cliniq 2026 | 020 3355 0710

Smile Cliniq Limited. A company registered in England and Wales. Company number 08279068.

Registered office: C/O TG Associates 7 Jardine House, Harrovian Business Village, Bessborough Road, Harrow, Middlesex, HA1 3EX

Terms of Use | Privacy Policy | Cookie Policy | Data Protection

Website by NightMonkey

ENQUIRE

LIVE CHAT
×

Online booking for new patients

Book your appointment in 3 easy steps. Please fill in our appointment form below, make a £30 deposit (100% refundable with 24hr notice) and choose your preferred date & time.

Choose your branch

Your Name

Your Email

Mobile Number

If required times are not available please call us for more appointment availability, after making the deposit payment. For more information read our Deposit Payment Policy.