MedCliniq

Ceramic Braces

  • HOME
  • /
  • Ceramic Braces
"I've been going to the Smile Cliniq for the past couple of years, and the treatment, care and advice from Chetan and his team has been faultless. Highly recommended." - A.S.
"Yet again I have been blown away by Smile Cliniq. After my filling fell out on Sunday night, I was distraught. But I phoned the Cliniq in the morning and got an appointment for the same morning. Dr Kaher put me at ease, even though I was very anxious, and did an amazing job on my..." - Robyn B
"What a great dental clinic! I was having issues with a tooth and Dr Sarita Kotecha was brilliant. Solved my dental issue quickly and explained everything in a way that made me actually enjoy the appointment (!!). They were able to squeeze me in last minute too. Highly recommend t..." - Saya Jones
"The service was so good at Smile Cliniq by Dr Sarita Kotecha, I recommended my wife to change dentist. We've been looking for a good dentist since moving to London 2 and 1/2 years ago and the quality we had received from our previous dentist was sub-standard. That all changed at ..." - Greg Jones
"I have had a dentist phobia for many years and would shake all over whenever I was there. Dr Chetan Kaher changed that. He was calm and very patient and understanding of my anxiety. All the staff are thoughtful and friendly. I don't shake anymore, which is wonderful. I still have..." - DEBRA MERRITT
"Fantastic service, professional and top notch technology. Very hygenic and Dr Chetan Kaher has a very steady and experienced hand. Highly recommend." - Amrita Chauhan
"I have had a dentist phobia for many years and would shake all over whenever I was there. Dr Chetan Kaher changed that. He was calm and very patient and understanding of my anxiety. All the staff are thoughtful and friendly. I don't shake anymore, which is wonderful. I still have..." - DEBRA MERRITT
"Friendly and helpful manager. Dentist was also friendly and efficient,Gave me lots of advice about dental care showing video." - Filippa Milioto
"Needed an emergency appointment, I was seen the same day! Great service and friendly staff" - Elena Milioto
"I found the the team at smile very professional and friendly, nothing was too much trouble. Chet presented all the options and my selected course of treatment took place over a year. As it involved one of my front top teeth I had some concerns and Chet was always available to ans..." - Irin Wu
"I have a hereditary tendency to get dental cavities, ensuing painful dental treatments, which left me scared of visiting dentists. Now, in my early thirties, I did everything to avoid dental checks. I also gave up on having cavity-free teeth. Two years ago, I was forced to find a..." - Rukmini
"I have just finished my year long lingual brace treatment with Dr Sarita Kotecha which has been a huge success. I'm so happy with the results! The staff at Smile Cliniq have always been friendly, helpful and welcoming; fitting me in for last minute appointments when necessary and..." - Maayan Bianca
"My wife needed to see a dentist on an emergency basis on a Saturday after a bad fall the evening before. We called on Saturday morning and they were able to take us that afternoon. The quality of care, both technically and inter-personally, could not have been better. If we lived..." - Hal N.

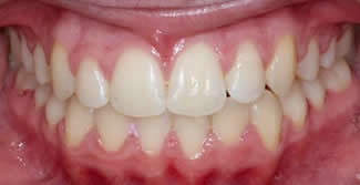
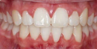
Before and After Gallery

Before Ceramic Braces
Before
After Ceramic Braces
After
Before Orthodontist Treatments in London
Before
After Orthodontist Treatments in London
After
Before Ceramic Braces in London
Before
After Ceramic Braces in London
After

Orthodontist Treatments in London

Click here to compare all orthodontic treatments

Clear ceramic braces London

Our specialist orthodontist offers a range of orthodontic treatment to optimise the function and aesthetics of your teeth and give you that confident smile. After an initial consultation, she will explain all the treatment options available and help you choose the option that will give you the best result. When misalignment is marked and bodily movements of the teeth are required, invisible braces and inman aligners may not work.  In these cases, Fixed orthodontics is the best solution.

Our highly experienced in-house Orthodontist Dr Pasqualicchio can use white ceramic brackets from the leading dental company 3M unitek on the upper teeth instead of the silver metal brackets. The price includes the cost of all materials and appointments including adjustment and review appointments. You will see the orthodontist around every 6 weeks to adjust and tighten the brace, until you finish the treatment with much straighter teeth.

Ceramic Braces in London Ceramic Braces

Fixed Ceramic Braces

Fixed braces are the traditional ‘train track’ braces. They are small square brackets that are glued onto the teeth. Wires are then tied to the brackets to help move the teeth into the correct position. These braces are a very quick, efficient and comfortable way of straightening the teeth.
If you are concerned about the appearance of metal braces, then the orthodontist also offers tooth coloured (white ceramic) fixed braces.

Functional Braces

Functional braces are removable braces attached to the top and bottom teeth that correct the bite and improve the facial profile. They are very effective on growing patients, in particular in some children who look like their front teeth stick out too much. These braces London are often followed by a short course of fixed brace treatment to straighten the teeth once the bite has been corrected.

Retainers

At the end of orthodontic treatment, the teeth try to move back to their original position. The orthodontist therefore provides all patients with retainers which the patient will wear at the end of their active orthodontic treatment. Retainers can either be removable plastic mouthguards that the patient wears at night time only or a permanent retainer which is glued to the inside of the teeth to hold them in the new position. The orthodontist will select the retainer which is most suitable for you.

 

If you are looking for ceramic braces in London then book an appointment with one of our professional today.

Anything else…

Any braces, aligners and other oral devices take time to get used to.  Initially, it feels uncomfortable, with hyper- or hypo- salivation common, and a small lisp can be present, this usually disappears after a few days.
The biggest risks with any orthodontic treatment are decay and gum disease developing.  As when wearing any oral device, dentures, braces, aligners, retainers, it is more difficult to clean the teeth and gums.  This can cause decay and gum disease, so it is imperative to maintain excellent oral hygiene.  It is often recommended to attend more regularly for hygiene appointments, use a fluoride mouthwash and spend extra time cleaning the teeth during orthodontic treatment.   Please see here for further information on maintaining good oral hygiene.  Small interdental brushes are particularly good for cleaning between the braces and teeth.

Retention:  After treatment is completed we normally place removable (similar to a clear aligners, but non pressurised) or fixed retainers (thin wire bonded to back of teeth) to hold the teeth in their new position.  Over time these can wear down or de-bond and they may need replacing, extra fees will be due when and if they need replacing.

Inman Aligner Dentistry Award Smile Award Restylane BACD BDA Care Quanlity Commission Bupa Dental Phobia Patient Service Award 2017 - WhatClinic

OR

BOOK AN APPONTMENT NOW

Call for a consultation today

phone

020 3627 8732

© Copyright Med Cliniq 2026 | 020 3355 0710

Smile Cliniq Limited. A company registered in England and Wales. Company number 08279068.

Registered office: C/O TG Associates 7 Jardine House, Harrovian Business Village, Bessborough Road, Harrow, Middlesex, HA1 3EX

Terms of Use | Privacy Policy | Cookie Policy | Data Protection

Website by NightMonkey

ENQUIRE

LIVE CHAT
×

Online booking for new patients

Book your appointment in 3 easy steps. Please fill in our appointment form below, make a £30 deposit (100% refundable with 24hr notice) and choose your preferred date & time.

Choose your branch

Your Name

Your Email

Mobile Number

If required times are not available please call us for more appointment availability, after making the deposit payment. For more information read our Deposit Payment Policy.